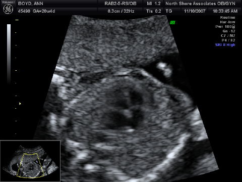
{"id":1479,"date":"2007-11-10T13:02:03","date_gmt":"2007-11-10T19:02:03","guid":{"rendered":"http:\/\/boydsnest.org\/news\/2007\/and-its-a\/"},"modified":"2007-11-10T13:02:03","modified_gmt":"2007-11-10T19:02:03","slug":"and-its-a","status":"publish","type":"post","link":"https:\/\/boydsnest.org\/news\/2007\/and-its-a\/","title":{"rendered":"And it&#8217;s a&#8230;"},"content":{"rendered":"<p>We&#8217;ve just come back from the midwives&#8217; office, where we had our midterm ultrasound. That means that, at 20+ weeks, Belly Baby is just about half-baked  &#8212;  and plenty developed for modern technology to take a peek at the private parts. We sure were curious! And now we&#8217;re pleased to announce that it&#8217;s a&#8230; <!--more--><\/p>\n<p><img src='http:\/\/boydsnest.org\/news\/wp-content\/uploads\/2007\/11\/boyd-baby_13-crop.jpg' alt='And it\u00e2\u20ac\u2122s a\u00e2\u20ac\u00a6' class=\"alignright\" \/><\/p>\n<p>*Girl!* And here she is, shyly peeking out from behind her placenta.<\/p>\n<p>Hooray! We really like girls (especially Papa), so this is very happy news. Not that there&#8217;s anything wrong with being a boy (especially Papa), and we have plenty of boy friends (especially Papa). But it&#8217;s quite easy for us to rejoice in this news of a little sister for Lucy and another daughter for us.<\/p>\n<p>On the other hand, we&#8217;re pretty sure we don&#8217;t want to follow in &#8220;the Bennets&#8217; footsteps&#8221;:http:\/\/en.wikipedia.org\/wiki\/Pride_and_Prejudice#Mr._Bennet and end up with five marriageable sisters in the family. Especially Papa.<\/p>\n<div style=\"clear:both;\"><\/div>\n<p>*More Ultrasound Snaps*<\/p>\n<p>Here are a couple more, selected shots of her:<\/p>\n<p><img src='http:\/\/boydsnest.org\/news\/wp-content\/uploads\/2007\/11\/boyd-baby_11-crop.jpg' alt='Another 3D' class=\"alignleft\" \/><\/p>\n<p>Photo: Another three-dimensional shot. We got more of these, but (as often happens for midterm ultrasounds) they look more than a little skeletal  &#8212;  and we didn&#8217;t want to unduly frighten any sensitive viewers. :)<\/p>\n<p>(Speaking of which, the apparent gaps in the top of her head, visible in these first two photos, are perfectly normal at this stage. Remember, it&#8217;s a big brain we humans have, and it&#8217;s gotta get out during birth, so the skull stays flexible all the way through gestation.)<\/p>\n<div style=\"clear:both;\"><\/div>\n<p>Want proof that Belly Baby is in fact a mammal? Here&#8217;s a cross-section of her fully functioning &#8220;four-chambered heart&#8221;:http:\/\/www.lyricstime.com\/they-might-be-giants-mammal-lyrics.html:<\/p>\n<p><img src='http:\/\/boydsnest.org\/news\/wp-content\/uploads\/2007\/11\/boyd-baby_6.jpg' alt='Large Four-Chambered Heart' \/><\/p>\n<p>And finally, here&#8217;s a portrait, showing her opening her mouth really wide  &#8212;  getting ready to holler loud enough to be heard over Lucy, I suppose!<\/p>\n<p><img src='http:\/\/boydsnest.org\/news\/wp-content\/uploads\/2007\/11\/boyd-baby_5.jpg' alt='Big mouth' \/><\/p>\n<p>Go, Baby Girl! We can&#8217;t wait to welcome you to the Big Outdoors!<\/p>\n","protected":false},"excerpt":{"rendered":"<p>We&#8217;ve just come back from the midwives&#8217; office, where we had our midterm ultrasound. That means that, at 20+ weeks, Belly Baby is just about half-baked &#8212; and plenty developed for modern technology to take a peek at the private parts. We sure were curious! And now we&#8217;re pleased to announce that it&#8217;s a&#8230;<\/p>\n","protected":false},"author":1,"featured_media":0,"comment_status":"open","ping_status":"closed","sticky":false,"template":"","format":"standard","meta":{"footnotes":""},"categories":[2],"tags":[],"class_list":["post-1479","post","type-post","status-publish","format-standard","hentry","category-kids"],"_links":{"self":[{"href":"https:\/\/boydsnest.org\/news\/wp-json\/wp\/v2\/posts\/1479","targetHints":{"allow":["GET"]}}],"collection":[{"href":"https:\/\/boydsnest.org\/news\/wp-json\/wp\/v2\/posts"}],"about":[{"href":"https:\/\/boydsnest.org\/news\/wp-json\/wp\/v2\/types\/post"}],"author":[{"embeddable":true,"href":"https:\/\/boydsnest.org\/news\/wp-json\/wp\/v2\/users\/1"}],"replies":[{"embeddable":true,"href":"https:\/\/boydsnest.org\/news\/wp-json\/wp\/v2\/comments?post=1479"}],"version-history":[{"count":0,"href":"https:\/\/boydsnest.org\/news\/wp-json\/wp\/v2\/posts\/1479\/revisions"}],"wp:attachment":[{"href":"https:\/\/boydsnest.org\/news\/wp-json\/wp\/v2\/media?parent=1479"}],"wp:term":[{"taxonomy":"category","embeddable":true,"href":"https:\/\/boydsnest.org\/news\/wp-json\/wp\/v2\/categories?post=1479"},{"taxonomy":"post_tag","embeddable":true,"href":"https:\/\/boydsnest.org\/news\/wp-json\/wp\/v2\/tags?post=1479"}],"curies":[{"name":"wp","href":"https:\/\/api.w.org\/{rel}","templated":true}]}}